Cosmetic Dentistry in Greenville, WI
Creating Beautiful Smiles for Our Patients
Considering cosmetic dentistry in the Greenville, WI area? Otter Creek Dental can help! Enhancing your smile can not only improve your oral health, but it can also instill confidence and have a positive emotional impact on your life! No matter what imperfections are keeping you from smiling confidently, our incredibly talented team at Otter Creek Dental would love to help you achieve the smile of your dreams!
From basic whitening to full arch reconstruction, the team at Otter Creek Dental can help you achieve the look you're longing for. During your visit, we will discuss how you envision your new smile will look and which options would guarantee the best results. Otter Creek Dental provides superior cosmetic dentistry in New London, WI. We believe everyone should feel confident in their smile — let us help make sure you love yours.
Call us today to set up a complimentary consultation with Dr. Branden or Dr. Dave for cosmetic dentistry in Greenville, WI. Together, we can create a plan that fits your needs and desires to give you the smile you have always dreamed of!
Our Cosmetic Options Include:
- Full Arch Reconstruction
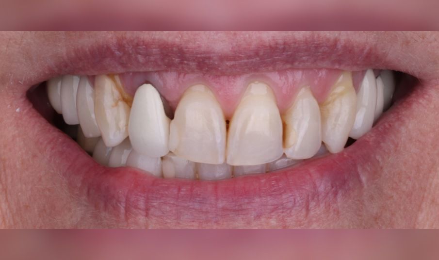
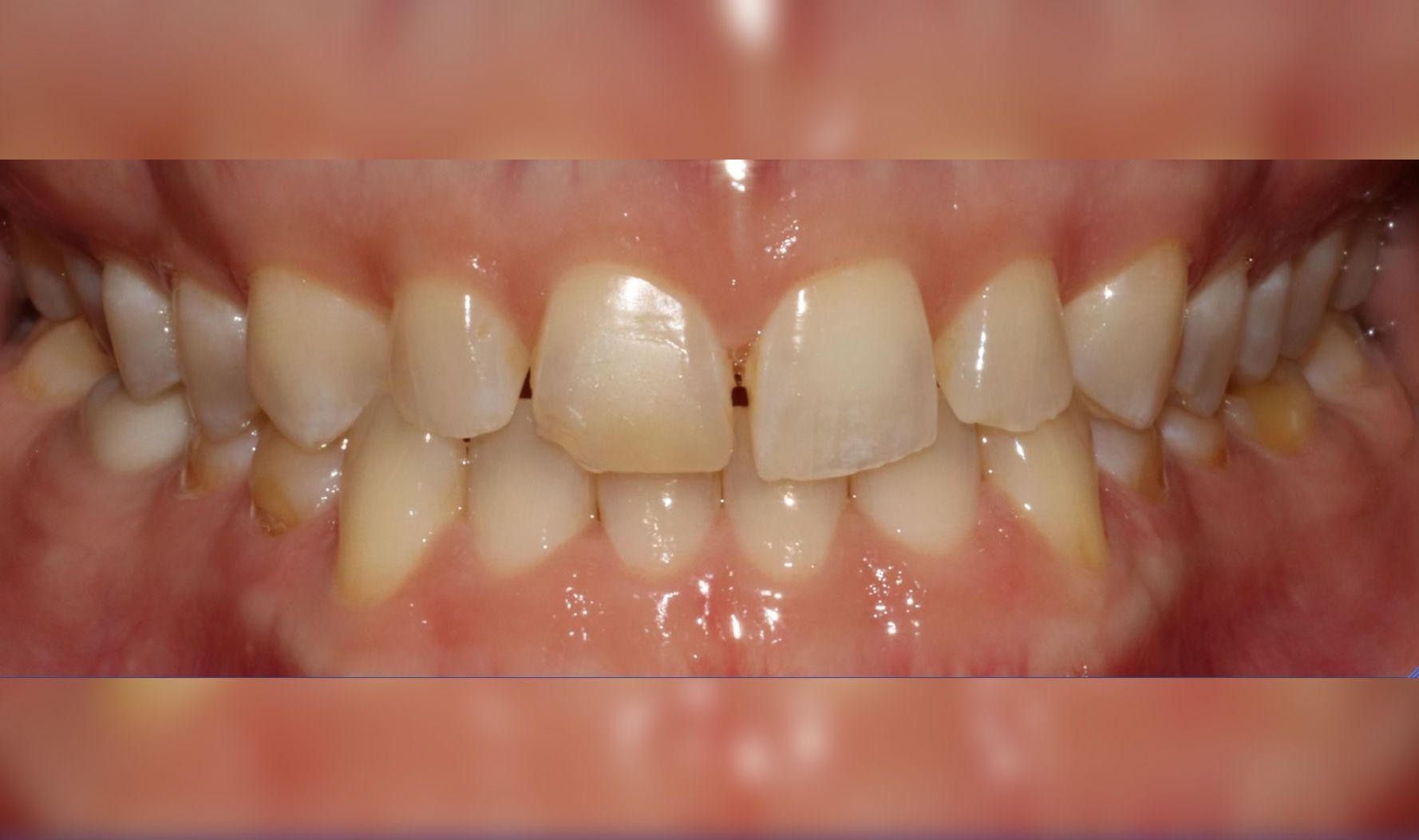
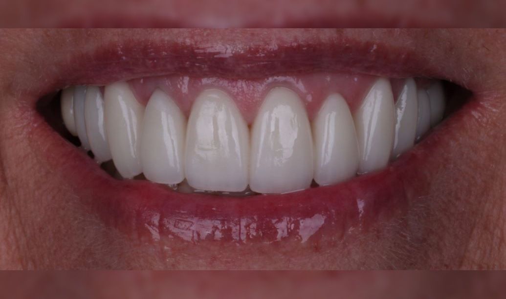
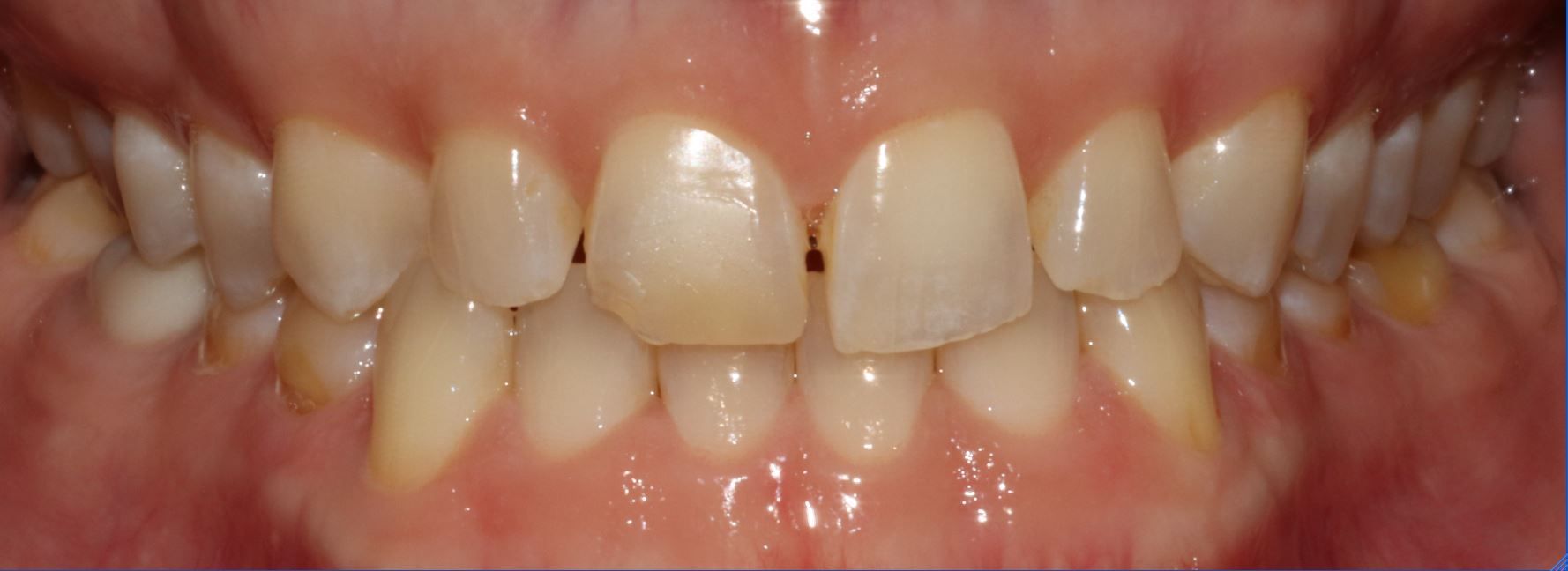
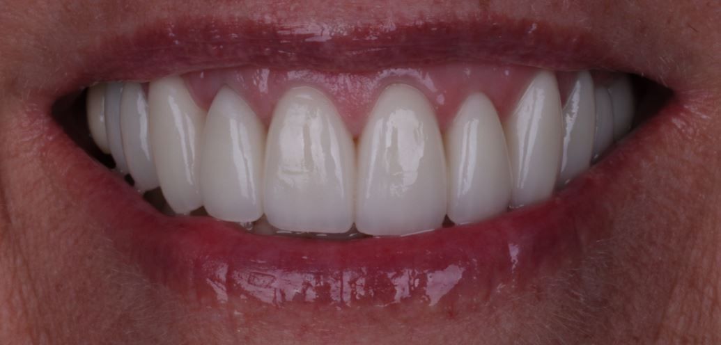
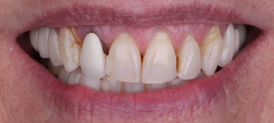
Whether you are unhappy with your discolored, misshapen, broken, or spaced out teeth, veneers and crowns can help to correct those problems to give you the smile you have always dreamed of. Typically, a veneer/crown combination will deliver the ideal, long-lasting cosmetic results you desire.
- Whitening
This is a fantastic option for patients that are looking for a quick way to brighten up their pearly whites. It is a non-invasive, and conservative way to enhance your smile. Ask about our at-home whitening treatment as well!
















